Smile Makeovers
Let us always meet each other with a smile, for the smile is the beginning of love: Mother Teresa
For many people, smiling is not easy and there are many reasons for this. Our patients often tell us that having bad teeth is often the reason. This could be due to lack of care in the past, failing fillings or bad treatment choices made. Whatever the reason, we believe we understand your frustration and can provide a tailored plan to dramatically improve your smile so that you no longer need to be self conscious when smiling. We believe in transforming the smile in the most conservative way possible and not to carry out any unnecessary cosmetically orientated treatments.
A new beautiful smile can dramatically elevate self esteem and confidence, and in turn transform your life and open up opportunities. Our patients have reported success with their careers and relationships after Smile Makeovers with ourselves.
Case Study:
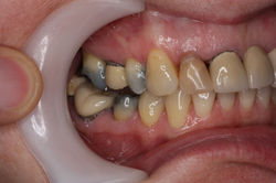
![]() Right side showing many large leaking metal fillings and failing crowns | ![]() Front view showing failing crowns and fillings. Colours and shades do not match |
|---|---|
![]() Left side showing old leaking fillings | ![]() Upper teeth showing large metal fillings, failing crowns and bridge |
![]() Lower teeth showing large metal fillings and failing crowns | ![]() Upper failing bridge removed |
This patient has had a lot of dental treatment over the years. Large metal fillings, crowns and bridges were all carried out at different times. As a result the colour of the crowns and bridges do not match and many of them are now failing. Fillings are leaking and decay returning around the edges of the crowns. The upper front bridge was so decayed around the edges that it was not saveable. As part of the makeover, the bridge and the tooth/root supporting it was removed.
The patient wanted to take this opportunity to transform the smile. Her aim was to improve the smile but only to treat teeth that were unhealthy and actually required treatment. We believe in the this conservative approach and agreed to help. We assessed every tooth, the gums, the overall health of the skin inside the mouth and took xrays.
![]() Leaking fillings removed. Crowns used to improve aesthetics and strengthen teeth. | ![]() Implants, crowns and new tooth coloured fillings |
|---|---|
![]() Leaking fillings replaced and "no metal all ceramic crowns" used to improve the aesthetics and strength of teeth | ![]() Patient feeling much more confident with her smile |
![]() Crowns used to improve aesthetics and strength teeth. Dental Implants used to restore the gap at the front after removal of the bridge. | ![]() Metal fillings replaced with tooth-coloured fillings and failing "metal ceramic crowns" replaced with "no metal all ceramic crowns" |
The patient was absolutely delighted with the results. She is now much more confident with her smile and feels happier knowing her teeth are now healthy again.
If you are interested in improving your smile, why not contact us to arrange a FREE consultation!?












